Kenny Brown DVM
BREESE, IL 62230
ph: 5202084149
alt: 5203311589
kbrowndv

A few local residents in the San Antonio area who are interested in and actively involved with owning chickens in their backyard environments attend a class given by Dr. Brown on the how-tos and what-to-know about keeping healthy chicks and chickens. The session included information on chicken diets, environment care, healthy eggs and other concerns that enable these folks to raise and maintain healthy chickens and provide fresh eggs for their families.

Dr. Brown answers questions about her chickens for a lady who attended the class.
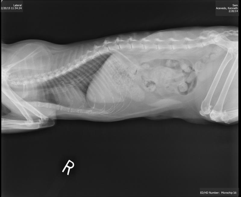
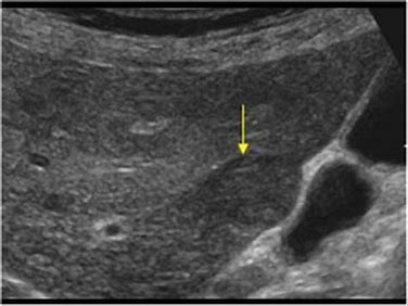
DIAGNOSTICS
Radiographic view canine patient...abdominal.


Ultrasound view...canine liver.

Dr. Brown performs an ultrasound as part of a diagnostic office visit to determine what internal problems may exist causing this cat to have urinary incontinence and difficulty.
SURGICAL OUTCOMES

This little 5 lb Chihuahua-mix underwent surgery with Dr. Brown on his spine to repair three discs that were damaged. (Photo in Service page). Post-surgery after care utilizing a tens-unit to stimulate muscles and provide additional pain relief, and he is up and able to stand. At the end of a month, he was running around the house with the rest of his eight housemates!
Copyright 2016 Kenny Brown DVM. All rights reserved.
Kenny Brown DVM
BREESE, IL 62230
ph: 5202084149
alt: 5203311589
kbrowndv